Open Access, Clinical image, Volume 5, Issue 4

Unusual presentation of hydatid disease: Solitary pancreatic cyst

Aymen Mabrouk; Yassine Tlili*; Anis Ben Dhaw; Oumeima Fatnassi; Adib Kefi; Mounir Ben Moussa

Department of General Surgery A21, Charles Nicolle Hospital, Faculty of Medicine of Tunis, Tunisia.

Yassine Tlili

Department of General Surgery A21, Charles Nicolle Hospital, Faculty of Medicine of Tunis, Tunisia.
Email: docteur.yassine123@gmail.com

Received : Jun 25, 2025, Accepted : Jul 10, 2025
Published : Jul 17, 2025, Archived : www.jclinmedcasereports.com

Keywords: Hydatid cyst; Pancreas; Hydatid serology; Surgery; Resection.

Copy right Statement: Content published in the journal follows Creative Commons Attribution License (http://creativecommons.org/licenses/by/4.0). © Yassine T (2025).

Journal: The Journal of Clinical and Medical Images, Case Reports (JCMICR) is a fantastic resource for keeping up with the latest clinical advancements and for publishing case reports and clinical images related to a variety of medical illnesses.

Citation: Mabrouk A, Yassine T, Dhaw AB, Fatnassi O, Kefi A, et al. Unusual presentation of hydatid disease: Solitary pancreatic cyst. J Clin Med Images Case Rep. 2025; 5(4): 1793.
Description

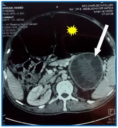
We report the case of a 54-year-old man with a history of sigmoidectomy for volvulus who developed chronic colonic dilatation requiring repeated colonic exsufflation. Abdominal CT imaging revealed pancolonic distension and a large (11 × 9 × 13 cm) multilocular pancreatic tail cyst causing segmental portal hypertension (Figure 1). Hydatid serology was positive, suggesting a diagnosis of a pancreatic hydatid cyst. The patient underwent an exploratory laparotomy. Intraoperatively, the entire colon was distended (Figure 2A), and a well-defined cys t ic lesion was found in the pancreatic tail, which was densely adherent to the spleen and associated with collateral venous circulation (Figure 3A). We performed a subtotal colectomy (Figure 2B) without immediate restoration of intestinal continu ity, combined with partial resection of the pancreatic hydatid cyst (Figure 3B). The cyst contents, consisting of non-infected multivesicular fluid (Figure 3C), were completely evacuated. A drain was placed in the residual cavity. Postoperative recovery was uncomplicated, with no recurrence at 6-month follow-up.

  Images are Not Display Check it
Figure 1: Axial contrast-enhanced abdominal CT showing colonic distension (*) and a multilocular pancreatic cyst (white arrow)

  Images are Not Display Check it
Figure 2: Intraoperative findings: (A) Diffuse colonic distension; (B) Subtotal colectomy specimen.

  Images are Not Display Check it
Figure 3: Intraoperative findings: (A) Hydatid cyst in the pancreatic tail causing collateral venous circulation; (B) Opened pericyst after evacuation of hydatid contents; (C) Hydatid contents consisting of multiple daughter vesicles.

Hydatid disease remains a significant public health concern in Tunisia [1]. Although the liver is the predominant site of infec tion, isolated pancreatic involvement is extremely uncommon, representing only 0.14-2% of systemic echinococcosis cases [2].

Due to their rarity, pancreatic hydatid cysts are often misdi agnosed as other cystic pancreatic lesions. Preoperative diagno sis requires multimodal imaging (contrast-enhanced CT, MRI, or ultrasound) combined with hydatid serology [2,3].

Surgical treatment is mandatory, with the approach (radi cal or conservative) depending on the cyst’s location relative to the mesenteric-portal pedicle, anatomical relationships, and complications [3]. In our case, the cyst’s proximity to the spleen, presence of segmental portal hypertension, and need for concurrent colectomy necessitated a conservative surgical approach.

References
  1. C Cöl, M Cöl, H Lafçi. Unusual localizations of hydatid disease. Acta Medica Austriaca. 2003; 30: 61-4.
  2. Yilei Wu, Jun Gong, Wei Xiong, Xiaojiong Yu, Xiangyu Lu. Primary pancreatichydatid cyst: A case report and literature review. BMC Gastroenterol. 2021; 21: 164.
  3. Bharati Hiremath, Narayana Subramaniam, Manobhiram Bogga varapu. Primary pancreatichydatid cyst: An unexpected differen tial diagnosis. BMJ Case Rep.2015: bcr2015211377.
+