Open Access, Case Report, Volume 5, Issue 5

Suxiao Jiuxin pills dissolved intracoronary thrombosis in a patient with acute ST-segment elevation myocardial infarction: A case report

Qingshan Zhang1*; Xiaolu Li2

1School of Chemical Engineering and Environment, Beijing Institue of Technology, People’s Republic of China.
2Technical Institute of Physics and Chemistry, Chinese Academy of Sciences, People’s Republic of China.

Qingshan Zhang

School of Chemical Engineering and Environment, Beijing Institue of Technology, People’s Republic of China.
Email: 517860752@qq.com

Received : Aug 19, 2025, Accepted : Sep 10, 2025
Published : Sep 17, 2025, Archived : www.jclinmedcasereports.com

Abstract

Suxiao Jiuxin Pills are commonly used in clinical practice to improve myocardial ischemia and relieve angina pectoris and other symptoms in patients with coronary heart disease. At the same time, research on its mechanism of action mainly involves vasodilation, anti- platelet aggregation, anti-atherosclerosis, improvement of reperfusion injury and promotion of angiogenesis. With the deepening of research, there is still a lack of relevant clinical research on the application of Suxiao Jiuxin Pill to dissolve coronary thrombus in acute myocardial infarction, and the related pathophysiological mechanism has not been clearly explained. This paper reports that Suxiao Jiuxin Pill dissolves acute ST- segment elevation myocardial infarction in patients A case of intracoronary thrombosis, aiming to increase the re-understanding of Suxiao Jiuxin pills in the drug treatment of acute myocardial infarction.

Keywords: Suxiao Jiuxin pill; Acute ST-segment elevation; Myocardial infarction; Thrombus recanalization.

Copy right Statement: Content published in the journal follows Creative Commons Attribution License (http://creativecommons.org/licenses/by/4.0). © Zhang Q (2025).

Journal: The Journal of Clinical and Medical Images, Case Reports (JCMICR) is a fantastic resource for keeping up with the latest clinical advancements and for publishing case reports and clinical images related to a variety of medical illnesses.

Citation: Zhang Q, Li X. Suxiao jiuxin pills dissolved intracoronary thrombosis in a patient with acute ST-segment elevation myocardial infarction: A case report. J Clin Med Images Case Rep. 2025; 5(5): 1804.
Introduction

Myocardial ischemia is a major manifestation of Coronary atherosclerotic Heart Disease (CHD) [1]. Deaths caused by coronary heart disease account for more than 40% of disease deaths in Chinese residents, which seriously endangers life safety [2]. Acute or persistent myocardial ischemia can cause acute myocardial infarction, complicated by cardiac arrhythmia, shock or heart failure, which is harmful to human health [3]. Therefore, the mechanism of action of anti- myocardial ischemia drugs is a key scientific issue of great concern. Suxiao Jiuxin pill is a dripping pill type Chinese patent medicine made from Chuanxiong and Borneol. Chuanxiong is spicy and warm, which is related to the liver meridian, while Borneol is spicy and bitter, slightly cold, which is related to the heart, spleen and lung meridian. The combination of the two herbs can give full play to the power of Xingxiang moving and channeling, and play a role in promoting qi and blood circulation, removing blood stasis and pain, promoting blood circulation and removing blood stasis, and reviving the mind [4]. Suxiao Jiuxin pill is commonly used in clinical practice to improve myocardial ischemic state and relieve angina pectoris and other symptoms in patients with coronary heart disease, with rapid onset, significant efficacy and no obvious adverse reactions [5-7]. Studies have shown that Suxiao Jiuxin pill is better than compound Danshen dropping pill in the treatment of angina pectoris of coronary heart disease (the frequency of anginapectoris attack in the same intensity activity is reduced, the ECG ST-T segment is significantly improved, and the cost is lower [8]. For patients with acute coronary syndrome, the effect of improving hemorheological abnormalities is stronger than that of analgesic (such as whole blood viscosity, plasma viscosity, platelet adhesion rate and other indicators have significant differences), and there is no obvious adverse reaction [9]. At present, the research on Suxiao Jiuxin pills mainly focuses on the chemical composition and the content determination of body components, etc. The research on its mechanism of action involves vasodilation, anti-platelet aggregation, anti-atherosclerosis, improvement of reperfusion injury and promotion of angiogenesis [10-12]. Therefore, the mechanism of Suxiao Jiuxin pill’s protective effect on myocardial cells remains to be further explored, and its regulatory effect on metabolite profile in vivo has not been reported in the literature.

Case data

Patient Ji, male, 46 years old, was admitted to the hospital due to chest pain for 2 hours. The patient had a past history of hypertension and syphilis. Two hours ago, after drinking alcohol, she had sudden retrosternal pain, which was pressuring and accompanied by sweating, and the chest pain continued without relief. About 15 minutes after taking Suxiao Jiuxin pill under the tongue, she reported that the symptoms of chest pain and chest tightness were significantly improved. On admission, the patient’s temperature was 36.0OC, pulse 86 beats /min, and blood pressure 163/109 mmHg. His consciousness was clear and his spirit was good. His lips had no cyanosis, and the breath sounds of both lungs were rough. The heart rate was 86 beats /min, rhythmic, and no heart murmur was heard. The abdominal examination was negative, and there was no edema in the lower limbs. A nervous system examination was negative. Laboratory tests showed WBC 14.35 x 109/L, Neu 9.82 x 10/L, HB177 g/L.

  Images are Not Display Check it
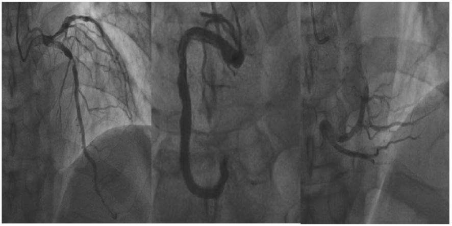
Figure 1: Findings of the patient at the first coronary angiography.

  Images are Not Display Check it
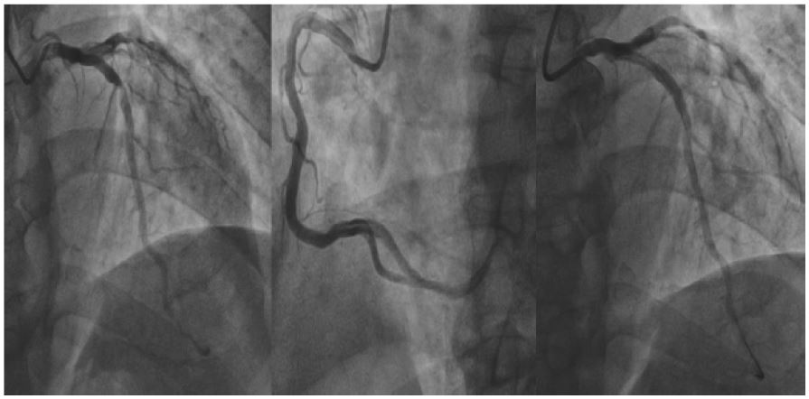
Figure 2: Findings of the patient at the second coronary angiography.

Cardiac enzymes: creatine kinase isoenzyme 4 ng/mL, myoglobin 220 ng/mL, troponin I 0.06 ng/mL. There were no obvious abnormalities in liver and kidney function, electrolytes and blood coagulation test. Urgent electrocardiogram showed sinus rhythm, Q wave formation in leads II, III, and aVF, and ST segment elevation of about 0.3 mV. The diagnosis was as follows: 1. coronary heart disease, acute ST-segment elevation myocardial infarction (inferior wall), cardiac function class I (Killip class) 2. Hypertension 3. Syphilis. Aspirin 0.3 g and ticagrelor 180 mg were given to the patient in bed. Emergency coronary angiography showed that there was no significant stenosis in the proximal segment of LM (left main artery), no significant stenosis in the proximal segment of LAD (Left Anterior Descending artery), thrombus stenosis in the middle segment of LAD was about 99%, and no significant stenosis in the distal segment. No obvious abnormality was found in LCX (left circumflex artery). The proximal segment stenosis of OM (Obtuse Marginal branch) was about 80%. RCA (right coronary artery) was thick with nonsmooth intima in the proximal and middle segments, and no significant stenosis was seen throughout (Figure 1). As the culprit vessel could not be located and the possibility of recanalization of RCA could not be excluded, urokinase 100000u and heparin 1000u were injected into the left and right coronary arteries respectively, and the operation was completed and the patient returned to the intensive care unit for hospitalization. The patient had no discomfort such as chest pain or chest tightness during and after the operation. Electrocardiogram was reexamined daily during admission, and pathological Q waves in leads II, III, and aVF were deepened, and ST segment gradually fell back to baseline level on the third day. Cardiac perfusion on the 5th day after admission showed acute ischemic cardiomyopathy changes in the inferior septal wall of the apical segment and the inferior wall of the left ventricle, and the inferior wall of the basal segment of the left ventricle, suggesting poor healing locally. Based on the results, the culprit vessel of this myocardial infarction was LAD. Reexamination of angiography on the 10th day after admission showed that the thrombus disappeared in the middle segment of LAD, the localized lesion was about 90%, and there was no significant change in LCX and RCA compared with before (Figure 2). Then a stent was implanted into the middle segment of LAD. The patient was discharged on the 12th day after admission.

Discussion/conclusion

Acute myocardial infarction is common in clinical practice, but due to the characteristics of acute onset and high mortality, the actual treatment effect is not ideal [1].

Although coronary intervention has greatly improved the survival rate of STEMI patients, it is affected by many factors, and the best rescue time is often delayed when they come to the hospital. Therefore, the timely use of first aid drugs for pre-hospital myocardial infarction has become particularly important. For patients with acute coronary thrombosis, how to effectively dissolve the intracoronary thrombus before operation is the key to the treatment. According to literature reports, a multicenter study of 1455 cases from 2013 to 2014 showed that Suxiao Jiuxin pill and nitroglycerin were the most commonly used Chinese medicine and western medicine for acute angina pectoris attack, and Suxiao Jiuxin pill represented by Chinese medicine had higher safety [2]. Suxiao Jiuxin pill is more accessible, easy to obtain and safe for patients at the time of onset. The main active ingredients of Jiuxin pill are Ligusticum chuanxiong and borneol. The study found that Chuanxiong rhizoma has anti-platelet aggregation effect. Medium and high doses of Suxiao Jiuxin pills can increase the content of cAMP and inhibit platelet aggregation induced by ADP, collagen and AA, while low doses of Suxiao Jiuxin pills can only inhibit platelet aggregation induced by collagen. Low dose Suxiao Jiuxin pills can only inhibit collagen-induced platelet aggregation. The anti-platelet aggregation effect of different doses of Suxiao Jiuxin pills has a certain dose- effect relationship [3]. At the same time, Chuanxiong can effectively down-regulate the activity of fibrinogen gene and reduce the production of fibrinogen, thereby inhibiting the formation of acute thrombosis [4]. Some studies have also found that Chuanxiong can improve blood flow in microcirculation, dissolve fibrinogen, reduce blood viscosity, reduce the aggregation of various blood cells, increase the negative charge and deformability of red blood cells, and comprehensively improve hemorheological abnormalities, thus further restoring microvascular function [5]. For patients with acute coronary syndrome undergoing early coronary intervention, regular postoperative administration of Suxiao Jiuxin pills can significantly improve the cardiac systolic function of patients and significantly reduce the occurrence of MACE [6]. In this case, the patient was clearly diagnosed with STEMI, electrocardiogram suggested inferior myocardial infarction, emergency angiography showed high stenosis in the middle segment of LAD with acute thrombosis, while the middle segment of RCA was not smooth, and there was no significant stenosis in the whole process. Before coronary intervention, he did not take any drugs except Suxiao Jiuxin pill, so it was inferred that the patient had acute thrombosis in RCA. It was speculated that the patient had acute thrombosis at the onset of RCA. However, the thrombus dissolution and recanalization may be achieved after taking Suxiao Jiuxin Pill. The reason can be considered from the following aspects: the patient took a large dose of Suxiao Jiuxin pill before admission, and the chest pain symptoms were completely relieved before admission, which was speculated to be related to vascular recanalization after RCA thrombosis caused by large dose of Suxiao Jiuxin Pill. Secondly, the main active ingredients of Suxiao Jiuxin pills, such as Chuanxiong and ferulic acid, have hemolytic effects, which can improve coronary microcirculation, relax blood vessels, increase peripheral blood supply, and improve patients’ chest pain symptoms [7].

There is still a lack of relevant clinical studies on the application of Suxiao Jiuxin pills in dissolving coronary thrombus in acute myocardial infarction, and its effectiveness is also lack of clinical randomized trials to verify. If we can clarify its related mechanism of action, it will bring greater hope to the treatment of patients with acute myocardial infarction, improve the treatment effect of patients with myocardial infarction, and improve the prognosis.

Conflicts of interest: All the authors declare that there is no conflict of interest.

References
  1. Perez-Cuevas R, Contreras-Sanchez SE, Doubova SV, Garcia-Saiso S, Sarabia-Gonzalez O, Pacheco-Estrello P, Arias-Mendoza A. Gaps between supply and demand of acute myocardial infarction treatment in Mexico. Salud Publica Mex. 2020; 62: 540–9.
  2. Li Y, Luo L, Shen L, Wang X. Effect of Suxiao Jiuxin pill on platelet aggregation rate and camp level in rats. J Integr Tradit Chin West Med Cardio-Cerebral Vasc Dis. 2016; 14: 1729–32.
  3. Wang Z, Weng G, Du J. Effect of tetramethylpyridine on fibrinogen gene. Chin J Integr Tradit West Med Surg. 2006; 2: 129–32.
  4. Bi Y, Wang X, Zhao Z, Hou Y, Zhang X, Wang S, Mao J. Clinical application investigation and application suggestion of rapid action preparation for angina pectoris in patients with coronary heart disease. Chin J Tradit Chin Med. 2019; 60: 853–7.
  5. Huang X, Chen Y, Shan W. Effects of sodium ferulate on hemorheology in elderly patients with coronary heart disease. Pract Clin Med. 2005; 8: 32–5.
  6. Shen Z, Chen T, Deng B, Fan M, Hua J, Zhang M, Wang X. Effects on Suxiao Jiuxin pills in the treatment of patients with acute coronary syndrome undergoing early percutaneous coronary intervention: a multicenter randomized double-blind placebo-controlled trial. J Altern Complement Med. 2020; 26: 1055-63.
  7. Wang Y. Suxiao Jiuxin pill for the treatment of coronary heart disease and angina pectoris. Mod Distance Educ Chin Tradit Med. 2019; 17: 52–3.
+